Die Behandlung von Bandscheibenvorfällen ohne Operation, auch Regressionstherapie genannt, nutzt die körpereigene Heilungsfähigkeit zur Rückbildung des Vorfalls. Ziel ist eine schonende Schmerzlinderung und Funktionsverbesserung.
Zu den angewandten Methoden gehören gezielte Schmerztherapie, Physiotherapie und minimal-invasive Injektionen. Bildgebende Verfahren begleiten den Heilungsprozess.
Patienten profitieren von einer deutlichen Reduktion der Beschwerden ohne chirurgische Risiken. Besonders bei lumbalen und zervikalen Bandscheibenvorfällen ist die Methode erfolgreich.
Langfristige Stabilisierung wird durch Muskelkräftigung, Gewichtsoptimierung und ergonomisches Training erreicht, um Rückfälle zu vermeiden.
Chirurgiefreie Lösungen für Bandscheibenvorfälle: Effektive Behandlungsmethoden

Ein Bandscheibenvorfall ist ein häufiges gesundheitliches Problem in der Gesellschaft, das die Lebensqualität der Betroffenen erheblich beeinträchtigt. Besonders im Berufs- und Sozialleben kann dieses Leiden erhebliche Hindernisse schaffen, für die nicht-chirurgische Behandlungsmethoden entwickelt wurden. Die moderne Medizin bietet eine Vielzahl von Behandlungsalternativen für Bandscheibenvorfälle und ermöglicht den Patienten eine schnellere und sicherere Genesung.
- Ozontherapie: Durch die Injektion von Ozon in den Vorfall werden Entzündungen und Schmerzen kontrolliert.
- Radiofrequenz-Diskektomie: Das Vorfallgewebe wird durch die durch Radiowellen erzeugte Wärme verkleinert, wodurch der Druck auf den Nerv verringert wird.
- Laser-Diskektomie: Mit einer Lasernadel wird Wärmeenergie in die Bandscheibe eingebracht, um eine Schrumpfung der Bandscheibe zu erzielen.
Diese Methoden bieten effektive Lösungen für Fälle, in denen keine Operation erforderlich ist. Insbesondere wenn sie in einem frühen Stadium angewendet werden, verbessern sie die Lebensqualität des Patienten erheblich und beschleunigen die Rückkehr zu einem normalen Leben.
Chirurgiefreie Behandlungsmethode für Bandscheibenvorfälle mit Radiofrequenz
Für viele Patienten mit Bandscheibenvorfällen in der Lenden- oder Halswirbelsäule wird die Radiofrequenztherapie als Alternative zu chirurgischen Eingriffen angeboten. Diese Behandlung wird ohne Allgemeinanästhesie durchgeführt und hat minimale Nebenwirkungen. Sie zielt darauf ab, die Schmerzen der Patienten erheblich zu lindern und das betroffene Gebiet direkt zu behandeln.
Die Radiofrequenzmethode wirkt gezielt auf das Problemgebiet, wobei der Gewebeschaden kontrolliert wird, und beschleunigt so den Heilungsprozess. Es gibt zwei verschiedene Anwendungen der Radiofrequenz:
Klassische Radiofrequenztherapie:
- Es wird ein kontinuierlicher Strom abgegeben.
- Die Temperatur wird auf 60 bis 80 Grad eingestellt.
Pulsierte Radiofrequenztherapie:
- Es wird ein intermittierender Strom angewendet.
- Es wird eine niedrigere Temperatur von 42 Grad verwendet.
Beide Methoden bieten effektive Ergebnisse, und die am besten geeignete Option wird je nach Zustand und Bedarf des Patienten ausgewählt. Nach der Behandlung können die Patienten eine erhebliche Verbesserung feststellen und schnell zu ihrem normalen Leben zurückkehren.
Heilungsprozess bei Bandscheibenvorfällen mit Radiofrequenztherapie
Die bei der Behandlung von Bandscheibenvorfällen in der Lenden- und Halswirbelsäule angewandte Radiofrequenzmethode bietet schnelle Ergebnisse. In der Regel beginnen die Patienten innerhalb einer Woche nach der Behandlung eine Erleichterung zu spüren. Bei Patienten, die mit der Radiofrequenzmethode behandelt wurden, wird die Wirksamkeit dieses Prozesses durch die regelmäßige Einnahme von Medikamenten und die Durchführung der empfohlenen Übungen gesteigert. Die Wirkung kann je nach allgemeinem Gesundheitszustand und Lebensstil des Patienten variieren.
- Eine Besserung der Symptome wird in der Regel innerhalb einer Woche nach der Behandlung festgestellt.
- Der Heilungsprozess sollte durch die regelmäßige Einnahme von Medikamenten unterstützt werden.
- Die Einhaltung der Übungsprogramme durch die Patienten steigert den Behandlungserfolg.
Wenn einige Patienten trotz der Behandlung weiterhin Beschwerden haben, kann eine zweite Radiofrequenztherapie erforderlich sein. Da die Behandlungsergebnisse von Patient zu Patient unterschiedlich sind, ist ein Vergleich der Behandlungen nicht ratsam.
Vorteile der Radiofrequenzmethode bei der Behandlung von Bandscheibenvorfällen
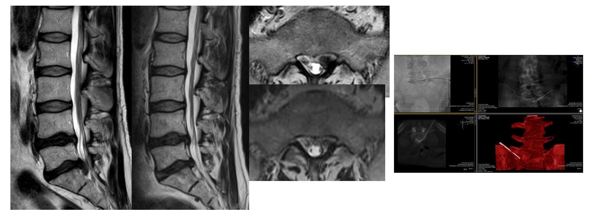
Diese Methode wird im Gegensatz zu klassischen offenen Operationen in viel kürzerer Zeit durchgeführt und beschleunigt den Heilungsprozess des Patienten. Die Radiofrequenztherapie wird unter lokaler Betäubung durchgeführt; dies verhindert, dass der Patient während des Eingriffs Schmerzen verspürt, und ermöglicht ihm, unmittelbar nach dem Eingriff zu seinem normalen Leben zurückzukehren. Der Eingriff wird mit einem Angiographiegerät durchgeführt, wobei die Nadel und die Lendenwirbel sichtbar gemacht werden, um die genaueste Position zu erreichen.
Mit folgenden Vorteilen rückt die Radiofrequenzmethode bei der Behandlung von Bandscheibenvorfällen in den Vordergrund:
- Kurze Anwendungsdauer und schnelle Genesung
- Geringes Risiko von Komplikationen
- Geringes Risiko von Infektionen und Blutungen (Bei intradiskalen Anwendungen besteht ein Infektionsrisiko von 1 %).
- Minimale Notwendigkeit für Anästhesie
Mit dieser Methode können die Patienten schnell wieder aufstehen und ihre täglichen Aktivitäten fortsetzen. Diese Vorteile machen die Radiofrequenzmethode zu einer attraktiven Option für die Behandlung von Bandscheibenvorfällen.
Chirurgiefreie Behandlung von Bandscheibenvorfällen in der Lenden- und Halswirbelsäule mit der Radiofrequenzmethode
Dieser Eingriff wird unter der Aufsicht eines Arztes im Operationssaal durchgeführt. Ein Fluoroskopiegerät ermöglicht es dem Arzt, das Zielgebiet während des Eingriffs präzise zu erkennen. Eine Allgemeinanästhesie ist nicht erforderlich. Falls nötig, werden dem Patienten sedierende Medikamente verabreicht, um ihn zu beruhigen. Der Eingriff wird mit speziell entwickelten Kanülen und Elektroden durchgeführt.
- Platzierung der Kanüle: Die Kanüle wird präzise in das Zielgebiet eingeführt.
- Verwendung von Elektroden: Über die Elektroden werden Radiofrequenzwellen an den Zielnerv gesendet. Diese Wellen reduzieren den Druck auf den Nerv und lindern den Schmerz.
Die Behandlungsdauer liegt in der Regel zwischen 15 und 20 Minuten. Während dieses Prozesses steht der Komfort des Patienten im Vordergrund, und es treten keine Schmerzen während des Eingriffs auf.
Spürt der Patient während des Radiofrequenzeingriffs Schmerzen?
Während der Radiofrequenz-Diskektomie bleiben die Patienten während des gesamten Eingriffs wach. Die Verwendung von Beruhigungsmitteln ermöglicht es ihnen jedoch, den Eingriff angenehmer zu erleben.
Während des Eingriffs spüren die Patienten keinen Schmerz, sondern nur leichte Empfindungen. Diese Empfindungen helfen dem Arzt, den Eingriff korrekt durchzuführen. Daher:
- Die Patienten verspüren in der Regel keine ernsthaften Schmerzen.
- Die während des Eingriffs wahrgenommenen leichten Empfindungen sind notwendig, um die Genauigkeit des Behandlungsgebiets zu überprüfen.
- Sedierte Patienten können den Eingriff in der Regel problemlos abschließen.
Zusammenfassend lässt sich sagen, dass die Wahrscheinlichkeit, dass Patienten während der Radiofrequenz-Diskektomie Schmerzen verspüren, sehr gering ist. Dank der während des Eingriffs verabreichten Beruhigungsmittel erleben die Patienten sowohl körperlich als auch psychisch eine angenehme Erfahrung.
Wann kehren die Patienten nach der Radiofrequenzbehandlung wieder zur Normalität zurück?
Patienten, bei denen mit der Radiofrequenzmethode Bandscheibenvorfälle in der Lenden- und Halswirbelsäule behandelt wurden, können kurz nach Abschluss des Eingriffs zu ihrem normalen Leben zurückkehren. Diese Behandlung, die eine halbe Stunde dauern kann, ermöglicht es dem Patienten, noch am selben Tag entlassen zu werden.
Die Patienten können in der Regel innerhalb von zwei Stunden nach der Behandlung nach Hause zurückkehren. Ab dem Tag nach der Behandlung können die Patienten sofort mit ihren täglichen Aktivitäten beginnen. Da keine Schnitte erforderlich sind, gibt es keine Einschränkungen bei körperlichen Aktivitäten während der Genesungsphase.
- Behandlungsdauer: 15-30 Minuten
- Entlassungszeit: 1-2 Stunden
- Rückkehr zum täglichen Leben: Am nächsten Tag
- Körperliche Aktivität: Keine Einschränkungen
Für längere Reisen wird empfohlen, nach der Behandlung eine Woche zu warten. In dieser Zeit ist es wichtig, mögliche Nebenwirkungen der Behandlung zu überwachen und den Komfort des Patienten zu gewährleisten. Es wird empfohlen, sich in dieser Zeit auszuruhen und Maßnahmen zur Unterstützung des Genesungsprozesses zu ergreifen.
Chirurgiefreie Lösung für Bandscheibenvorfälle in der Lenden- und Halswirbelsäule mit Ozontherapie
Die Ozontherapie verwendet Ozon, eine dreifach gebundene, starke Form von Sauerstoff. Diese Therapie wird als wirksame Methode zur Überwindung verschiedener Gesundheitsprobleme angesehen. Die starken oxidativen Eigenschaften von Ozon lösen im Körper viele nützliche biologische Reaktionen aus. Hier sind die wichtigsten Anwendungsgebiete der Ozontherapie:
- Sie hilft bei der Ausscheidung von Giftstoffen aus dem Körper.
- Sie deaktiviert schädliche Mikroorganismen und reduziert das Infektionsrisiko.
- Sie schützt die Gesundheit der Gelenke, indem sie den Knorpel- und Flüssigkeitsverlust durch Verkalkung verhindert.
Besonders bei Bandscheibenvorfällen in der Lenden- und Halswirbelsäule wird sie als Alternative zur Operation angeboten. Die Ozontherapie lindert Schmerzen und Entzündungen und verbessert die Lebensqualität der Patienten.
Die Therapie wird in der Regel innerhalb kurzer Zeit durchgeführt, während der Patient wach bleibt, wodurch die Rückkehr zum normalen Leben beschleunigt wird. Diese Methode bietet eine wertvolle Alternative zur Chirurgie und bietet den Patienten während des Genesungsprozesses Vorteile.
Durchführung der Ozontherapie bei Bandscheibenvorfällen
Bei der Ozontherapie wird Ozon direkt in die Bandscheibe injiziert. Dabei repariert Ozon die beschädigten Strukturen in der Bandscheibe, reduziert die Schwellung und verkleinert die Bandscheibe. Der Eingriff führt zu einer deutlichen Schmerzlinderung.
Faktoren, die eine wichtige Rolle für den Erfolg der Behandlung spielen:
- Die antioxidative Wirkung von Ozon zur Neutralisierung freier Radikale,
- Die Reduzierung der Wasserbindungskapazität des Bandscheibengewebes,
- Die Reduzierung von Entzündungen und die Verbesserung der Durchblutung.
Ozon kann auch außerhalb der Bandscheibe angewendet werden:
- Injektionen werden gleichmäßig auf die rechte und linke Seite des unteren Rückens aufgetragen.
- Jeweils drei dünne Zahnnadeln auf der rechten Seite
- Jeweils drei dünne Zahnnadeln auf der linken Seite
Durch diesen Eingriff dringt Ozon tief in die Umgebung der Wirbelsäule ein. Diese effektive Durchdringung von Ozon erreicht die beschädigte Bandscheibe und unterstützt den Heilungsprozess. Die Methode kann in kurzer Zeit durchgeführt werden und ermöglicht es dem Patienten, noch am selben Tag zu seinem normalen Leben zurückzukehren. Eine stationäre Behandlung ist nach der Therapie nicht erforderlich.
Durch die Ozontherapie gebotene Lösungen für Bandscheibenvorfälle
Der Einsatz von Ozon zur Behandlung von Bandscheibenvorfällen beschleunigt den Heilungsprozess, indem es direkt auf die beschädigten Bandscheiben einwirkt. Diese Methode wird insbesondere bei Fällen bevorzugt, die keinen chirurgischen Eingriff erfordern. Zu den Hauptvorteilen der Behandlung gehören:
- Mit der Ozontherapie werden die Vorwölbungen der Bandscheiben verkleinert, was den Druck auf den Nerv verringert und die Schmerzen lindert.
- Starke Schmerzen im Rücken und in den Beinen, die durch den Bandscheibenvorfall verursacht werden, werden durch die entzündungshemmenden Eigenschaften von Ozon erheblich reduziert.
- Eine weitere positive Wirkung des Ozons ist die Verhinderung von Entzündungen in der Bandscheibe und die rasche Reparatur des geschädigten Bereichs.
Diese Behandlungsmethode bietet die Möglichkeit, das Problem des Bandscheibenvorfalls minimal-invasiv zu lösen. Die Patienten können sich nach der Operation schneller erholen und wieder zu ihrem normalen Leben zurückkehren, ohne lange Genesungsprozesse durchlaufen zu müssen. Die Ozontherapie beseitigt effektiv die Schmerzen und Beschwerden, die durch einen Bandscheibenvorfall verursacht werden, und verbessert die Lebensqualität.
Mögliche Nebenwirkungen der Ozontherapie bei Bandscheibenvorfällen
Das Einatmen von Ozon kann schädlich sein. Bei kontrollierter Anwendung zu therapeutischen Zwecken ist das Risiko von Nebenwirkungen jedoch sehr gering. Bei der Anwendung durch Ärzte sind die Nebenwirkungen dieses Gases minimal.
Dennoch können in einigen Fällen Nebenwirkungen auftreten. Diese Nebenwirkungen sind in der Regel auf Anwendungsfehler oder die Verabreichung einer zu hohen Dosis an Ozon bei Patienten mit geringer antioxidativer Kapazität zurückzuführen. Im Folgenden sind die seltenen Nebenwirkungen der Ozontherapie aufgeführt:
- Hautrötung und Juckreiz
- Schmerzen an der Injektionsstelle
- Schwindel
Der Behandlungsprozess erfordert eine detaillierte Voruntersuchung, um diese möglichen Nebenwirkungen im Voraus zu erkennen und zu verhindern. Daher sollte die Ozontherapie von Ärzten durchgeführt werden. Bei Behandlungen unter ärztlicher Aufsicht ist die Wahrscheinlichkeit des Auftretens von Nebenwirkungen geringer, und die Patienten durchlaufen einen sichereren Behandlungsprozess.
Laserbehandlung zur Bandscheibenverkleinerung:

Bei dieser Methode wird die Nadel ähnlich wie bei der Radiofrequenz in die Bandscheibe eingeführt, und durch die Nadel wird eine Laserfaser geführt, die Wärme überwacht und eine bestimmte Energiemenge in die Bandscheibe einbringt, um die Bandscheibe langfristig zu verkleinern.
Häufig gestellte Fragen

Können geplatzte Bandscheibenvorfälle ohne Operation behandelt werden?
Geplatzte Bandscheibenvorfälle können ohne Operation behandelt werden. Ozon-, RF- oder Laser-Nukleoplastik-Verfahren werden unter lokaler Betäubung durchgeführt und bieten eine nicht-chirurgische Alternative. Die Patienten erholen sich schnell nach dem Eingriff und können in der Regel noch am selben Tag nach Hause zurückkehren. Am nächsten Tag haben sie die Möglichkeit, wieder zur Arbeit zu gehen. Diese Methode kann bei ausgewählten Patienten eine Erfolgsquote von 70 % erreichen.
Wie hoch sind die Kosten für die Regressionstherapie bei Bandscheibenvorfällen?
Die Kosten für die Regressionstherapie bei Bandscheibenvorfällen können je nach Gesundheitszustand des Patienten und der gewählten Behandlungsmethode variieren. Außerdem ist die Erfahrung und das Fachgebiet des behandelnden Arztes ein wichtiger Faktor, der die Kosten beeinflusst. In der Regel steigen die Kosten für diese Art der Behandlung aufgrund der verwendeten medizinischen Materialien und der zusätzlichen Behandlungsverfahren, die der Patient benötigt. Daher ist es schwierig, einen genauen Preis zu nennen.

Girişimsel Radyoloji ve Nöroradyoloji Uzmanı Prof. Dr. Özgür Kılıçkesmez, 1997 yılında Cerrahpaşa Tıp Fakültesi’nden mezun oldu. Uzmanlık eğitimini İstanbul Eğitim ve Araştırma Hastanesi’nde tamamladı. Londra’da girişimsel radyoloji ve onkoloji alanında eğitim aldı. İstanbul Çam ve Sakura Şehir Hastanesi’nde girişimsel radyoloji bölümünü kurdu ve 2020 yılında profesör oldu. Çok sayıda uluslararası ödül ve sertifikaya sahip olan Kılıçkesmez’in 150’den fazla bilimsel yayını bulunmakta ve 1500’den fazla atıf almıştır. Halen Medicana Ataköy Hastanesi’nde görev yapmaktadır.

Fallbeispiele