Osteomul osteoid poate fi tratat eficient prin ablație cu radiofrecvență sau microunde, proceduri minim invazive care distrug tumora osoasă benignă. Tehnica are ca scop reducerea durerii și restabilirea funcționalității osoase, cu un risc redus de complicații.
Radiofrecvența aplicată în osteom osteoid utilizează căldura controlată pentru a elimina celulele tumorale. Procedura este realizată sub ghidaj imagistic, asigurând precizie în localizarea leziunii și protejarea țesuturilor sănătoase adiacente.
Ablația cu microunde este o alternativă modernă care generează temperaturi mai înalte într-un timp mai scurt, crescând eficiența distrugerii tumorale. Această metodă este indicată în leziunile osoase dificil accesibile sau în cazurile recurente.
Tratamentul osteomului osteoid prin ablație prezintă multiple beneficii: recuperare rapidă, durere minimă postprocedurală și reluarea activităților zilnice într-un interval scurt. Procedura este sigură și oferă rezultate durabile pe termen lung.
Ce este ablația cu radiofrecvență pentru osteoid osteom?
Ablația cu radiofrecvență este o metodă de tratament eficientă pentru osteoid osteom. Ea oferă o alternativă modernă la intervenția chirurgicală în tratamentul acestei tumori osoase de etiologie necunoscută. Tehnicile avansate, în special utilizarea energiei radiofrecvență, vizează țesutul tumoral. În timpul acestei proceduri;
- Undele de radiofrecvență sunt aplicate direct asupra tumorii.
- Curentul de înaltă frecvență încălzește și distruge țesutul tumoral.
Pacienții resimt mai puțină durere cu această metodă, iar procesul de recuperare post-tratament este accelerat. În plus, durata spitalizării este redusă semnificativ, ceea ce scade costurile tratamentului. Ablația cu radiofrecvență este, în special, o metodă preferată la tinerii adulți, având un efect pozitiv asupra calității vieții și oferind îmbunătățiri funcționale. Astfel, acest tratament reprezintă o opțiune valoroasă pentru pacienții cu osteoid osteom.
Unde apare osteoid osteomul în organism?
Osteoid osteomul se poate dezvolta în diverse regiuni ale scheletului, iar localizarea sa influențează direct manifestările clinice. De obicei, aceste tumori apar la oasele lungi ale extremităților inferioare. Dintre aceste localizări, două zone sunt deosebit de frecvente:
- Osul coapsei (femur)
- Osul gambei (tibia)
La aceste oase, tumora este, de obicei, localizată în partea centrală sau la capetele oaselor. Totuși, osteoid osteomul poate apărea și în alte regiuni. De exemplu:
- Oase mici, adică oasele mâinilor și picioarelor
- Coloana vertebrală, în special vertebrele lombare
La nivelul coloanei vertebrale, tumora se găsește de obicei în partea posterioară, ceea ce poate duce la o curbură dureroasă a coloanei. Tumorile din jurul articulațiilor cauzează adesea acumularea de lichid sinovial și simptome asemănătoare artritei inflamatorii. Astfel, osteoid osteomul poate prezenta caracteristici clinice variabile în funcție de localizare, aspect care influențează în mod semnificativ opțiunile de tratament.
Ce se întâmplă după apariția osteoid osteomului?
Osteoid osteomul este o tumoră care se diferențiază în anumite structuri osoase și este, de obicei, o leziune mică și benignă întâlnită la tinerii adulți și copii. Tumora este caracterizată prin prezența unui nidus – o acumulare de țesut – în centru, care este, de regulă, de formă rotundă sau ovală și nu depășește 1,5-2 cm în diametru. Această zonă centrală conține diferite niveluri de mineralizare osoasă, iar în jurul ei se formează os sclerozant reactiv, ce reprezintă modul de protecție al tumorii.
Osteoid osteomul este clasificat în trei tipuri principale:
- Osteoid osteomul cortical este forma cea mai frecvent întâlnită.
- Osteoid osteomul medular apare mai frecvent în zona colului femural și la oasele mici.
- Osteoid osteomul subperiostal se poate găsi pe suprafețele intraarticulare.
Dintre aceste tipuri, forma corticală se remarcă prin prezența unui nidus central clasic și a unei scleroze înconjurătoare. Celelalte două tipuri, medular și subperiostal, prezintă o scleroză periferică mai redusă, ceea ce poate îngreuna stabilirea diagnosticului. Fiecare tip necesită un tratament adaptat și prezintă simptome diferite în funcție de structura osoasă afectată.
Care sunt metodele de imagistică?
Metodele de imagistică folosite pentru diagnosticarea osteoid osteomului sunt cruciale pentru identificarea corectă a bolii. Ca prim pas, se efectuează de obicei o radiografie simplă. În aceasta, leziunea apare sub forma unei forme mici, rotunde sau ovale, înconjurată de os sclerozant ascuțit. Uneori, nidusul poate fi ascuns, motiv pentru care se poate necesita o imagistică mai detaliată.
Tomografia computerizată (CT) este cea mai eficientă metodă de diagnostic pentru osteoid osteom, deoarece:
- Arată clar zona nidusului și a sclerozei din jur.
- Poate detecta chiar și leziunile mici, cu puțină scleroză.
- Examinează în detaliu structura vasculară a leziunii și mediul înconjurător.
Imagistica prin rezonanță magnetică (IRM) este deosebit de sensibilă la evaluarea inflamației din măduva osoasă și a țesuturilor moi. Nidusul prezintă, de obicei, o intensitate scăzută sau medie a semnalului la IRM. Totuși, rezultatele IRM trebuie interpretate în contextul altor metode imagistice pentru a evita diagnosticele eronate.
Scintigrafia osoasă este folosită în special pentru detectarea leziunilor mai mari:
- Evidențiază o captare intensă a radioizotopului și zona cu densitate scăzută din jur.
- Este cunoscută sub denumirea de semn “cu dublă densitate”.
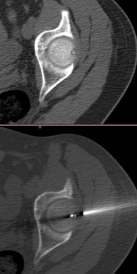
Cum se realizează ablația cu radiofrecvență pentru osteoid osteom?

Ablația cu radiofrecvență pentru osteoid osteom se remarcă ca o tehnică minim invazivă. Această procedură este o metodă de tratament eficientă, care asigură confortul pacientului și accelerează procesul de recuperare. Pacienții revin, de obicei, rapid la activitățile lor normale după procedură. Intervenția se efectuează în condiții sterile, iar poziționarea pacientului este ajustată conform stării acestuia. Generatorul de radiofrecvență și tehnologia CT joacă roluri critice în succesul tratamentului, iar pașii procedurii sunt planificați și executați cu mare atenție.
Pregătirea pacientului pentru procedură:
- Pacientul este poziționat corespunzător, fie cu fața în jos, fie pe spate, fie lateral.
- Două plăci de împământare sunt plasate pe pielea pacientului și conectate la generatorul RF.
Aplicarea anesteziei locale:
- Anestezia locală este, de obicei, suficientă pentru controlul durerii.
- Tipul de anestezie este ales ținând cont de starea clinică a pacientului și de cooperarea acestuia.
Localizarea leziunii și calea de acces:
- Localizarea exactă a leziunii este determinată cu ajutorul scanării CT.
- Reconstrucțiile multiplan sunt utilizate pentru a stabili calea optimă de acces.
- Se acordă atenție pentru a nu afecta vasele de sânge și nervii.
Plasarea cateterului de acces:
- Un cateter de acces cu ac interior este introdus de-a lungul traiectoriei stabilite.
- Poziționarea corectă a cateterului este verificată cu noi imagini CT.
Penetrarea osoasă și electrodul de ablație:
- Un ac Kirschner este introdus în os cu ajutorul cateterului.
- Distanța până la centrul tumorii este calculată cu precizie.
- Electrodul este înlocuit cu acul Kirschner și poziția corectă este confirmată.
Inițierea ablației cu radiofrecvență:
- După conectarea electrodului la generatorul RF, începe procesul de ablație.
- Leziunea este încălzită la temperatura și pentru perioada stabilite.
- Temperatura și durata sunt cruciale pentru o ablație optimă.
Monitorizarea post-procedurală:
- O scanare CT finală este efectuată pentru a verifica eventualele leziuni ale țesuturilor moi.
- După îndepărtarea electrodului și a cateterului, se aplică anestezie locală.
- Zona de acces a pielii este protejată cu un pansament steril.
Externarea pacientului și monitorizarea ulterioară:
- Pacienții sunt, de obicei, externate în aceeași zi.
- O vizită de control și un RMN sunt programate la 30 de zile după procedură.
Cum este procesul post-ablație cu radiofrecvență pentru osteoid osteom?
Procesul post-ablație cu radiofrecvență pentru osteoid osteom are efecte semnificative asupra dinamicii recuperării pacientului. Imediat după finalizarea procedurii, pacientul este monitorizat în sala de recuperare timp de patru ore, în care se evaluează eventualele complicații și se intervine, dacă este necesar. Pacienții sunt, de obicei, externate în aceeași zi. Durerile post-procedurale scad, de regulă, în primele 72 de ore, iar majoritatea pacienților necesită analgezice pentru controlul durerii. În procesul de recuperare post-tratament:
- Majoritatea pacienților revin la activitățile zilnice la sfârșitul primei săptămâni.
- Se recomandă evitarea activităților fizice intense timp de primele trei luni.
- Răspunsul la durerile nocturne este, de obicei, observat în câteva zile.
În cazuri rare, există o probabilitate de recurență a tumorii de aproximativ 10%. În acest caz, poate fi necesară o a doua procedură de ablație cu radiofrecvență, în funcție de starea pacientului. Sănătatea pacientului și procesul de recuperare sunt prioritare la fiecare pas.
Care sunt avantajele ablației cu radiofrecvență pentru osteoid osteom?
Ablația cu radiofrecvență (RFA) este o metodă remarcabilă în tratamentul osteoid osteomului. Această metodă se evidențiază prin rata scăzută de recurență; un studiu extins efectuat pe osteoid osteomele extra-vertebrale a arătat că rata recurenței a scăzut până la 2%. RFA oferă un control eficient al durerii, iar conform cercetărilor, 95% dintre pacienți experimentează un efect analgezic complet sau semnificativ post-tratament. Un alt avantaj al RFA este riscul minim de complicații, iar pacienții resimt, de obicei, o ameliorare semnificativă a durerii în primele zile după tratament.
Rată înaltă de succes:
- Rata de recurență este, de obicei, între 10% și 16%.
- Succesul tratamentului oferă un efect analgezic în proporție de 95%.
Complicații minime:
- Durerea este resimțită doar în primele câteva zile.
Protecția osului:
- Integritatea osului este conservată.
- Deteriorarea țesutului este minimizată.
Eficiența costurilor:
- Este mai rentabilă comparativ cu intervenția chirurgicală.
Resurse și documente suplimentare
https://ozgurkilickesmez.com/wp-content/uploads/2024/07/Computed-tomography-guided-radio-frequency-ablation-of-osteoid-osteomas-in-atypical-locations.pdf
https://ozgurkilickesmez.com/wp-content/uploads/2024/07/Percutaneous-image-guided-ablation-of-bone-and-soft-tissue-tumours.pdf

Prof. Dr. Özgür Kılıçkesmez este unul dintre cei mai importanți specialiști în radiologie intervențională și neuroradiologie din Turcia, concentrându-se pe tratamente minim invazive endovasculare. Principalele sale domenii de expertiză includ tratamentul anevrismelor și al accidentului vascular cerebral, proceduri de embolizare, tratamentul nechirurgical al bolilor tiroidiene și paratiroidiene, oncologie intervențională și intervenții vasculare periferice. În prezent este Șeful Departamentului de Radiologie Intervențională și Neuroradiologie al Spitalului Memorial Göztepe Istanbul.
Absolvent al Facultății de Medicină Cerrahpașa a Universității din Istanbul în 1997, Prof. Dr. Kılıçkesmez a urmat formare avansată în radiologie intervențională și oncologie ca „Clinical Fellow” la London Guy’s & St Thomas’ și King’s College Hospital în perioada 2012–2013. În 2020 a obținut titlul de profesor, iar în același an a devenit Medic Fondator al Departamentului de Radiologie Intervențională al Spitalului SBÜ Çam și Sakura. Deține și certificarea EBIR (European Board of Interventional Radiology).
Prof. Dr. Kılıçkesmez are 94 de articole internaționale, 40 naționale și peste 2500 de citări. Este evaluator pentru reviste prestigioase precum American Journal of Roentgenology (AJR) și Diagnostic & Interventional Radiology. Cu experiența sa clinică și academică, este considerat o autoritate recunoscută la nivel național și internațional în tratamentul AVC-ului, anevrismelor cerebrale, embolizării, ablației tumorale și tratamentele minim invazive ale bolilor tiroidiene și paratiroidiene.

Vaka Örnekleri