Miyom embolizasyonu, rahimde bulunan iyi huylu tümörler olan miyomların kan akışını keserek küçülmesini sağlayan minimal invaziv bir girişimsel radyoloji yöntemidir. Cerrahiye gerek kalmadan miyom kaynaklı kanama, ağrı ve bası şikâyetlerini azaltmada etkilidir.
İşlem sırasında kasık veya bilekten girilerek rahim arterlerine ulaşılır ve miyomu besleyen damarlar mikrokateter aracılığıyla tespit edilir. Ardından özel embolizan maddeler enjekte edilerek damarlar kalıcı olarak tıkanır ve miyomun küçülmesi sağlanır.
Miyom embolizasyonu öncesinde ultrason, manyetik rezonans görüntüleme ve gerekli laboratuvar testleri ile miyomun boyutu, sayısı ve yerleşimi değerlendirilir. İşlem genellikle lokal anestezi ve sedasyon altında yapılır, düşük komplikasyon riski taşır.
Miyom embolizasyonu, kısa iyileşme süresi, rahmin korunması ve cerrahiye alternatif olması gibi avantajlarıyla öne çıkar. Uygun hasta seçimi ve deneyimli girişimsel radyoloji ekibi, tedavi başarısını artırır.
| Tedavi Yöntemi | Miyom Embolizasyonu (Uterin Arter Embolizasyonu) |
| Kullanım Alanı | Uterin miyomların (fibroidlerin) tedavisi |
| Endikasyonlar | Miyomların neden olduğu ağır ve düzensiz adet kanamaları, pelvik ağrı, basınç hissi, sık idrara çıkma, büyümüş rahim |
| İşlem Açıklaması | Girişimsel radyologlar tarafından yapılan anjiografik işlemde, uterin arterler aracılığıyla miyomları besleyen kan damarlarına küçük partiküller enjekte edilerek kan akışı durdurulur |
| Avantajları | Minimal invaziv bir yöntemdir, genel anestezi gerektirmez, rahmin korunmasını sağlar, hızlı iyileşme süreci, hastanede yatış süresi kısadır |
| Komplikasyonlar | Enfeksiyon, 1 gün süren orta-ciddi ağrı, erken menopoz, miyomların yeniden büyümesi, embolizasyon sonrası kanama |
| Başarı Oranı | Yüksek başarı oranına sahiptir; miyomların küçülmesi ve semptomların azalması genellikle başarılıdır |
| İyileşme Süreci | İşlem sonrası birkaç gün dinlenme, işlemden sonra birkaç hafta boyunca ağır fiziksel aktivitelerden kaçınma, düzenli takip randevuları |
| Alternatif Tedaviler | Cerrahi miyomektomi, histerektomi, ilaç tedavisi (GnRH analogları, hormon tedavisi), MR kılavuzluğunda odaklanmış ultrason cerrahisi (MRgFUS) |
| Hazırlık ve Önlemler | İşlem öncesi detaylı görüntüleme (ultrason, MR), işlem sırasında lokal anestezi kullanılması, işlem sonrası bakım ve takip. İşlem sonrası ağrı palyasyonu için 1 gün yatış gereklidir. |
| Epidemiyoloji | Miyomlar üreme çağındaki kadınlarda yaygındır; 35 yaş üzeri kadınlarda daha sık görülür, Afrika kökenli kadınlarda daha yaygındır |
Rahim Miyomu Embolizasyonu Nedir?
Rahim miyomu embolizasyonu girişimsel radyoloji alanında uygulanan bir tedavi yöntemidir. Bu prosedür rahim miyomlarının boyutunu azaltmak amacıyla gerçekleştirilir. İşlem sırasında doktor rahim atardamarlarına mikroskopik parçacıklar enjekte eder. Parçacıklar damarlara yapışarak kan akışını durdurur; bu da miyomların küçülmesini sağlar. İşlem hastanın vücuduna minimal müdahalede bulunarak yapıldığı için iyileşme süreci genellikle daha kısa olur.
Tedavi sürecinde kullanılan parçacıkların çeşitleri:
- Polivinil alkol partikülleri
- Akrilik kürecikler
- Jelatin bazlı mikrosferler
Bu parçacıklar uzun yıllar boyunca sağlık sektöründe kullanılmış olup güvenilirliği kanıtlanmıştır.
Rahim Miyomu Embolizasyonuna Neden İhtiyaç Duyulur?
Rahim miyomu embolizasyonu çeşitli semptomları kontrol altına almak amacıyla uygulanır. Özellikle rahimde oluşan miyomların neden olduğu sağlık problemlerine yönelik etkili bir çözüm sunar. Bu tedavi hastaların yaşam kalitesini artırma potansiyeline sahiptir. Miyomlar büyüdükçe bir dizi rahatsız edici semptom ortaya çıkabilir. Özellikle şiddetli ağrılar ve fonksiyonel sıkıntılar embolizasyonun önerilmesinin başlıca sebeplerindendir.
Rahim miyomu embolizasyonunun önerildiği durumlar şunlardır:
- Vajinal kanamalar sonucu ortaya çıkan kansızlık
- Karında sürekli bir doluluk hissi veya ağrı
- Rahmin normalden büyük olması
- Karın bölgesinin büyümesi
- Gebe kalmada yaşanan zorluklar
- Sürekli olarak sık idrara çıkma ihtiyacı
- Bağırsak üzerindeki baskıdan kaynaklı kabızlık ve şişkinlik
- Cinsel ilişki esnasında yaşanan ağrılar
- Sırt veya bacaklarda sinir baskısına bağlı ağrılar
Rahim Fibroid Embolizasyonunun Riskleri Nelerdir?
Miyom embolizasyonu prosedürü bazı riskler taşır. Bu işlemin sonucunda hastalar farklı komplikasyonlar yaşayabilir. Prosedür esnasında enfeksiyon kapma riski oldukça düşüktür, giriş yerinde morluk olabilir.. Bu enfeksiyonlar genellikle rahimde veya kasıktaki giriş yerinde meydana gelir.
- Anormal kanama
- Rahimde hasar
- Enfeksiyon
- Kasıktaki giriş yerinde deri altında kan birikmesi (hematom)
- Kullanılan atardamar veya yakındaki yapılarda yaralanma
- Kan pıhtıları
- Kısırlık veya gelecekteki gebelikle ilgili sorunlar
- Adet kanamalarının kesilmesi (amenore)
- Erken menopoz
- Kontrast maddeye veya verilen diğer ilaçlara karşı alerjik reaksiyon
Kasıktaki giriş yerinde hematom oluşumu hastanın iyileşme sürecini uzatabilir. İşlem sırasında kullanılan atardamarlarda veya çevresindeki yapılar yaralanabilir. Bu tür bir yaralanma ilave tedavi gerektirebilir. Kan pıhtıları oluşumu da özellikle embolizasyon sonrası dönemde ciddi sağlık sorunlarına neden olabilir.
Ayrıca işlem nadiren de olsa kısırlığa veya diğer gebelikle ilgili sorunlara yol açabilir. Adet kanamalarının durması veya erken menopoz gibi durumlar da yaşanabilir. İşlem sırasında kullanılan ilaçlara karşı alerjik reaksiyonlar da görülebilir. Özellikle kontrast maddeye duyarlı olan bireylerde bu tür reaksiyonlar daha sık rastlanır. Embolizasyon sonrası sendrom ise tipik olarak pelvik ağrı ve kramplar, vajinal akıntı, bulantı ve kusma, hafif ateş, yorgunluk ve rahatsızlık şeklinde belirtilerle kendini gösterir. Tedavi genellikle ağrı kesiciler ve iltihap önleyici ilaçlarla yapılır.
Rahim Miyomu Embolizasyonuna Nasıl Hazırlanırım?
Miyom embolizasyonuna hazırlanırken izlemeniz gereken adımlar oldukça önemlidir. Sağlık uzmanınız işlem öncesinde yapılacaklar konusunda size detaylı bilgi verecektir. İlk olarak işlemi kabul ettiğinizi belirten bir onam formu imzalamanız gerekmektedir. Bu formda yer alan her detayı dikkatlice okuyup anladığınızdan emin olun.
- Fizik muayeneden geçmeniz sağlığınızın bu işlem için uygun olduğunu teyit etmek amacıyla gereklidir.
- Ayrıca kan testleri ve diğer gereken tahliller için randevularınızı ayarlayın.
- İşlem öncesinde sağlık uzmanınızın yeme içme ile ilgili verdiği talimatlara uyun.
Eğer hamileyseniz ya da olabileceğinizi düşünüyorsanız bu durumu doktorunuza bildirin. Aynı şekilde alerjileriniz veya herhangi bir hassasiyetiniz varsa bunları da sağlık personeline aktarmanız şarttır.
- İyoda veya kontrast maddeye alerjiniz varsa,
- Herhangi bir ilaç lateks veya banda karşı hassasiyetiniz veya alerjiniz varsa,
- Kullandığınız tüm ilaçları bitkisel takviyeleri ve reçetesiz ilaçları doktorunuza bildirin.
- Eğer kanama bozukluğunuz varsa veya kan inceltici gibi ilaçlar alıyorsanız bu bilgileri de paylaşın.
İşlem günü kasık bölgenize uygulanacak olan lokal ağrı kesici ve gevşetici ilaçlar sayesinde daha rahat bir deneyim yaşayacaksınız. İşlem sonrası birkaç gün boyunca evde destek almanız gerekebilir.
Miyom Embolizasyonu Nasıl Yapılır?

Hastanın üzerindeki takılar ve metal nesneler çıkarılır. Hasta özel bir önlük giymesi için giysilerini değiştirir. Daha sonra işlem sırasında vücut fonksiyonlarını izlemek üzere bir damar yoluna erişim sağlanır.
- İşlemin başlangıcında hastaya antibiyotik uygulanabilir.
- Hastanın sırt üstü yatması sağlanır.
- Sağlık uzmanı işlem süresince hastanın temel yaşamsal bulgularını sürekli olarak izler.
Rahim miyomu embolizasyonu sırasında uzman doktor işlemi steril koşullar altında yürütür. İlk olarak kasık bölgesi antiseptik bir çözelti ile temizlenir. Daha sonra bu bölgeye küçük bir kılıf yerleştirilir. Bu kılıf kateterin atardamarlara yönlendirilmesine yardımcı olur.
- Kateter yoluyla kontrast madde enjekte edilir.
- Anjiyo kullanılarak miyomları besleyen atardamarlar tespit edilir.
- Uzman bu damarlara embolizasyon için minik parçacıklar enjekte eder.
Son olarak atardamarların tamamen bloke olduğu teyit edildikten sonra kateter ve kılıf çıkarılır. Bu işlemler sırasında hastanın rahatı ve güvenliği sürekli olarak gözetilir ve işlem sonrası hızlı bir toparlanma için gerekli tüm önlemler alınır.
Miyom Embolizasyonundan Sonra Neler Olur?
Miyom embolizasyonundan sonra hasta ilk olarak iyileşme odasına alınır. Burada tıp personeli hasta stabil hale gelene kadar hayati belirtilerini sürekli olarak kontrol eder. İşlemin ardından genellikle birkaç saat boyunca hastanın düz yatması gereklidir. Rahimdeki tümörlerin küçülmesine yardımcı olan bu prosedür sonrasında karnın bölgesinde hafif kramplar oluşabilir. Bu kramplar için genellikle IV yoluyla ağrı kesiciler verilir.
Ağrılar 12-24 saat kadar sürebilir, bu nedenle mutlaka 1 gün yatış yapılır.
Ayrıca iyileşme süreciniz boyunca bazı önlemler almanız gerekebilir:
- İyileşme süreci boyunca ağır egzersizlerden kaçının.
- Lifli gıdalar ve bol miktarda sıvı tüketerek beslenmenizi düzenleyin.
İşlemden sonraki birkaç gün içinde belirtilerinizde herhangi bir şüpheli değişiklik olduğunda sağlık uzmanınıza başvurmalısınız. Olası belirtiler şunlardır:
- Ateş ve titreme
- Kesi bölgesinde kızarıklık veya şişlik
- Artan karın ağrısı veya kramp
Genellikle prosedürden 1 ila 2 hafta sonra doktor kontrolüne gidilir. Bu ziyarette embolizasyonun etkinliği değerlendirilir ve gerekirse ek tedaviler planlanabilir.
Miyom Embolizasyonunun Avantajları Nelerdir?
Rahim miyomu embolizasyonu hastalar için birçok avantaja sahiptir. Çok sayıda, farklı büyüklüklerdeki miyomun ameliyatla temizlenmesi pek mümkün değildir, ancak embolizasyonla hepsi aynı anda tedavi edilebilir, bu nedenle gebelik bekleyenlerde en önemli tedavi yöntemlerindendir.
Tedavi özellikle belirtilerin hafiflemesini sağlar ve pelvik bölgede azalan ağrı ve baskı ile kadınların günlük yaşamlarına daha konforlu bir şekilde devam etmelerine olanak tanır. Fiziksel iyileşme süreci büyük cerrahi müdahalelere göre daha hızlıdır; bu da hastaların normal aktivitelerine kısa sürede dönmelerine yardımcı olur. Ayrıca embolizasyon prosedürü sırasında kan kaybı minimum seviyede kalır bu da genel sağlık risklerini azaltır. Tedavi sonrası hormon tedavisine olan ihtiyaç azalabilir ki bu da hormonal dengesizliklerle ilişkili yan etkileri minimize eder.
Miyom Embolizasyonu Fiyatları 2025
Miyom embolizasyonu fiyatı gerçekleştirilecek işlem için çok sayıda değişkene bağlıdır. Öncelikle uygulama yapılacak bölge, hastalığın şiddeti (kullanılacak malzeme miktarını arttırır) ve tercih edilen kliniğin prestiji fiyatlandırmada belirleyici faktörler arasında yer alır. Ayrıca doktorun tecrübesi ve klinikte kullanılan teknoloji gibi unsurlar da maliyeti etkiler. Sonuç olarak bu tedavinin maliyeti sabit bir rakam olmaktan ziyade söz konusu etmenlere göre değişkenlik gösterir.
Sıkça Sorulan Sorular
Miyom embolizasyonu yaptıranlar nelere dikkat etmeli?
Miyom embolizasyonu sonrasında hastanın günlük olarak yeterince dinlenmesi önemlidir. Ayrıca ağır kaldırma gibi fiziksel zorlamalardan kaçınmalıdır. Bu süreçte genital bölge hijyenine özen göstermek enfeksiyon riskini önemli ölçüde azaltacaktır. Hastanın hafif ve sindirimi kolay besinlerle beslenmesi tavsiye edilir. Son olarak doktor tarafından verilen ilaçlar düzenli olarak alınmalıdır.
Miyom embolizasyonunu hangi doktor yapar?
Miyom embolizasyonu tedavisi Girişimsel Radyoloji uzmanları tarafından gerçekleştirilir. Bu tedavi yöntemi kadın doğum uzmanlarının uygulama alanı dışında yer alır. Dolayısıyla bu işlem için hastalar Girişimsel Radyoloji uzmanına yönlendirilir. Bu doktorlar ilgili tıbbi müdahaleyi başarılı bir şekilde yürütmek için gerekli eğitimi ve deneyimi taşırlar.
Miyom embolizasyonu zararları var mı?
Miyom embolizasyonu genellikle güvenli bir işlem olarak kabul edilir. Bununla birlikte bu tedavi yöntemi de bazı yan etkilere sahip olabilir. Hastaların çok küçük bir yüzdesinde rahim enfeksiyonu vajinal akıntı ve geçici menopoz gibi istenmeyen durumlar gelişebilir. Dolayısıyla her tıbbi işlemde olduğu gibi miyom embolizasyonunun da potansiyel zararları vardır. Tedaviye karar vermeden önce bu risklerin dikkatlice değerlendirilmesi önemlidir. Tedavi sonrası olası komplikasyonlar hakkında bilgi sahibi olmak hastaların bilinçli bir karar vermelerine yardımcı olacaktır.
Ameliyatsız miyom tedavisi var mı?
Evet ameliyatsız miyom tedavisi mevcuttur. Özellikle embolizasyon yöntemi anjiyografi işlemi aracılığıyla miyom damarlarını tıkayarak tedavi sağlar. Ayrıca RF Ablasyon ve HIFU gibi teknikler ısıtma ve yüksek yoğunluklu ultrason dalgaları kullanarak miyomları hedef alır ve yok eder. Bu yöntemler minimal invaziv prosedürler olarak bilinir ve genellikle daha büyük ve kanlanması yoğun miyomlarda tercih edilir. Tedavi seçenekleri hastanın genel sağlık durumu ve miyomların özelliklerine göre doktor tarafından önerilir ve uygulanır. Ancak bu yöntemlerden en üstünü embolizasyondur çünkü bütün miyomları tek seansta cansızlaştırır.
Miyom embolizasyonu yaptıranlar nelere dikkat etmeli?
Miyom embolizasyonu sonrasında hastanın dikkat etmesi gerekenler oldukça önemlidir. İlk olarak iyileşme sürecini hızlandırmak için yeterli dinlenme sağlanmalıdır. Ayrıca ağır kaldırmaktan kaçınarak vücudun daha çabuk toparlanmasına olanak tanınmalıdır. Hijyen kurallarına sıkı sıkıya uyulmalı ve genital bölge temizliği ihmal edilmemelidir. Beslenme alışkanlıkları hafif ve sağlıklı gıdalar yönünde düzenlenmelidir. Doktorun reçete ettiği ilaçlar düzenli olarak alınmalıdır. İşlem sonrası ilk iki hafta vajinal duş ve tampon kullanımından kaçınılmalıdır. Son olarak miyomun durumunu değerlendirmek için MR görüntülemesi yapılmalıdır.
Ek Kaynaklar ve Dökümanlar
https://ozgurkilickesmez.com/wp-content/uploads/2024/07/fibroid.pdf

Girişimsel Radyoloji ve Nöroradyoloji Uzmanı Prof. Dr. Özgür Kılıçkesmez, 1997 yılında Cerrahpaşa Tıp Fakültesi’nden mezun oldu. Uzmanlık eğitimini İstanbul Eğitim ve Araştırma Hastanesi’nde tamamladı. Londra’da girişimsel radyoloji ve onkoloji alanında eğitim aldı. İstanbul Çam ve Sakura Şehir Hastanesi’nde girişimsel radyoloji bölümünü kurdu ve 2020 yılında profesör oldu. Çok sayıda uluslararası ödül ve sertifikaya sahip olan Kılıçkesmez’in 150’den fazla bilimsel yayını bulunmakta ve 1500’den fazla atıf almıştır. Halen Medicana Ataköy Hastanesi’nde görev yapmaktadır.

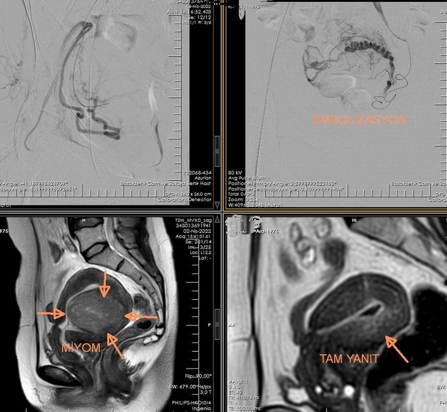
Vaka Örnekleri
Bel fıtığı disk içi radyofrekans tedavisi sonucu
Fıtık Tedavisi
Boyun Fıtığı Tedavisinde Lazer Teknolojisi ve Anjiyografi
Fıtık Tedavisi
Basedow-Graves hastalığı ameliyatsız tedavi sonucu
Tiroid Hastalıkları
TAKE işlemi ile yok edilen karaciğer tümörü
Kanser Tedavisi
Ameliyatsız Paratiroid Adenomu Tedavisi Sonucu
Paratiroid Adenomu
Sol akciğer komşuğuna gizlenmiş paratiroid adenomu
Paratiroid Adenomu
Bağırsak dalak anevrizması embolizasyonu
Embolizasyon
Dev dalak damar anevrizması kaplı stent ile tedavisi
Stent
Böbrek damarı anevrizmasının akım yönlendirici stent ile tedavisi
Stent
Dev Karaciğer Hemanjiom Mikrodalga Ablasyon
Ablasyon
Santral ven oklüzyonu: Balon tedavisi
Vakalar
Y stent eşlikli kapalı anevrizma tedavisi
Vakalar