Karaciğer tümör ablasyon tedavisi, cerrahiye uygun olmayan hastalarda tümörün lokal olarak yok edilmesini amaçlayan minimal invaziv bir girişimsel radyoloji yöntemidir.
Karaciğer tümör ablasyon tedavisi, radyofrekans, mikrodalga veya kriyoablasyon teknikleriyle uygulanabilir. İşlem genellikle görüntüleme rehberliğinde yapılır.
Karaciğer tümör ablasyon tedavisinin avantajları arasında kısa iyileşme süresi, tekrarlanabilirlik ve düşük komplikasyon riski yer alır.
Karaciğer tümör ablasyon tedavisi sonrası düzenli görüntüleme ile tedavi etkinliği ve tümör kontrolü değerlendirilir. Nüks halinde ek seans planlanabilir.
Karaciğer Tümör Ablasyon Tedavisi Nedir?
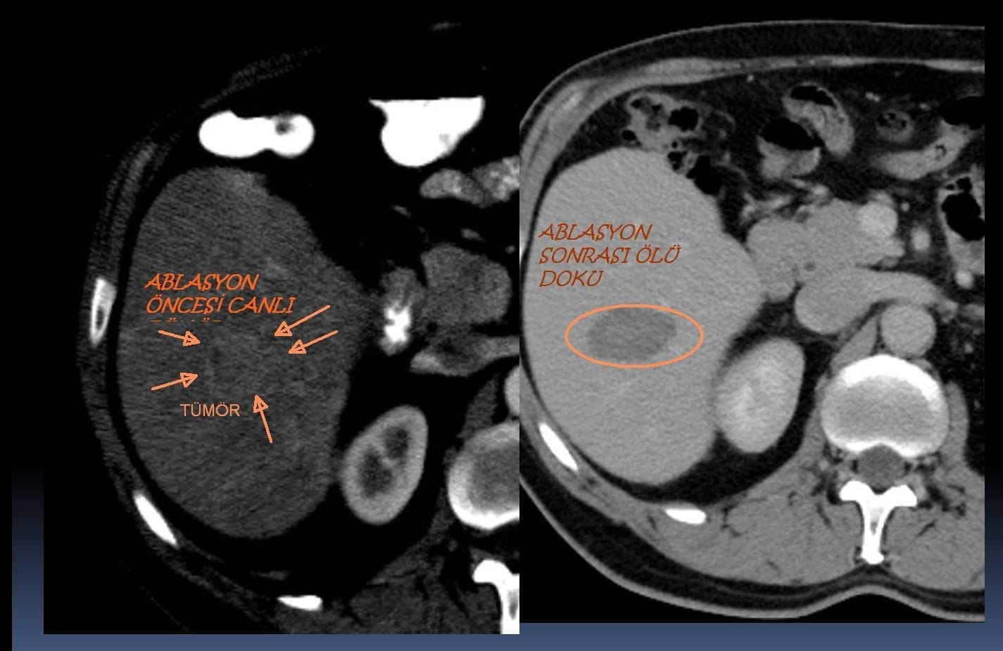
Karaciğer tümör ablasyon tedavisi özellikle erişilebilir olmayan veya cerrahi ile riskli olan tümörler için uygulanır. Bu yöntem tümör dokusunu hedef alarak kanserli hücreleri yok etmeye yöneliktir. Hastaların genel sağlık durumunu koruyarak daha hızlı iyileşme süreci sunar. Karaciğer tümörü ablasyon tedavisi çeşitleri arasında çeşitli teknikler bulunmaktadır:
- Radyofrekans Ablasyonu (RFA): Yüksek enerjili radyo dalgaları ile kanser hücrelerini öldürür.
- Mikrodalga Ablasyonu (MWA): Mikrodalgalar aracılığıyla tümörü ısıtarak etkisiz hale getirir.
- Kriyoablasyon: Tümör hücrelerini dondurarak işlevlerini durdurur.
- Kimyasal Ablasyon: Etanol gibi kimyasallarla doğrudan tümöre enjekte edilerek kanser hücrelerini yok eder.
- Geri Dönüşümsüz Elektroporasyon (IRE): Elektrik darbeleri ile hücre zarında gözenekler oluşturur.
Bu tedavi yöntemleri hastanın durumuna ve tümörün özelliklerine göre seçilir.
Karaciğer Tümör Ablasyon Tedavisi Nasıl Yapılır?

Bu tedavi minimal invaziv teknikler kullanılarak gerçekleştirilir ve hastanın iyileşme sürecini hızlandırır. İşlem sırasında doktorlar modern görüntüleme teknolojileri ile tümörün tam yerini belirler. İşlem aşağıdaki adımları içerir:
İlk olarak bilgisayarlı tomografi veya ultrason gibi görüntüleme yöntemleri ile tümörün konumu tespit edilir.
Daha sonra cilt yüzeyinden karaciğer dokusuna doğru özel bir iğne yönlendirilir.
Tümör hücrelerine ulaşıldığında farklı ablasyon tekniklerinden biri uygulanır. Bu teknikler şunlardır:
- Radyofrekans ablasyonu: Elektrot aracılığıyla yüksek frekanslı elektrik akımı gönderilir ve tümör yüksek sıcaklıkla yok edilir.
- Mikrodalga ablasyonu: Anten vasıtasıyla odaklanmış mikrodalga enerjisi kullanılır ve tümör hücreleri yüksek sıcaklıkla tahrip edilir.
- Cilde lokal anestezi yapılır, yakma esnasında da derin sedoanaljezi verilir, amaç yakma anında olşuşacak ağrıyı kesmektir. Çok nadiren genel anestezi de gerekebilir.
- Kriyoablasyon: Dondurucu gaz ile tümör hücreleri dondurularak yok edilir.
Karaciğer Tümör Ablasyon Tedavisi Sonrası Süreç Nasıldır?
Karaciğer tümör ablasyon tedavisi sonrası süreç hastaların dikkat etmesi gereken birkaç önemli adımı içerir. İşlem sonrasında karın bölgesinde ağrı meydana gelebilir. Bu ağrı genellikle kısa sürede azalır. Doktor tarafından önerilen ağrı kesiciler bu dönemde rahatlama sağlar.
- Ağrı Yönetimi: İşlem sonrası oluşan ağrı için doktorunuzun önerdiği ağrı kesicileri kullanın.
- Dinlenme: Vücudunuzu dinlendirin ve işlem sonrası birkaç gün boyunca yorucu aktivitelerden kaçının.
- Yara Bakımı: Yara bölgesini kuru ve temiz tutarak enfeksiyon riskini minimize edin.
- Beslenme: Dengeli ve sağlıklı beslenmeye özen gösterin. İlk günlerde daha çok sıvı gıda tüketmeye özen gösterin.
- Egzersiz: Doktorunuzun önerdiği hafif egzersizleri yaparak iyileşme sürecini destekleyin.
- İzlem: Doktor kontrolüne düzenli olarak giderek iyileşme sürecini takip edin.
Her yeni semptom veya endişe durumunda vakit kaybetmeden sağlık uzmanınıza başvurun.
Karaciğer Tümör Ablasyon Tedavisi Avantajları Nelerdir?
Karaciğer kanseri tedavisinde ablasyon yöntemi birçok avantaj sunar. Minimal invaziv olması bu tedaviyi öne çıkarır. Cerrahi müdahalelere kıyasla daha az invaziv olan bu yöntem hastalar için daha az komplikasyon riski taşır. Hastalar tedavi sonrasında daha hızlı iyileşebilirler. Bu özellikler sayesinde ablasyon hasta konforunu önemli ölçüde artırır.
- Minimal İnvazivlik: Açık cerrahi gerekmediğinden hastalar daha az ağrı ve daha kısa süreli yatış deneyimi yaşarlar.
- Yüksek Başarı Oranı: Erken evre karaciğer kanserlerinde oldukça etkilidir. Başarı oranları kanserin evresine ve büyüklüğüne bağlı olarak yüksektir.
- Kısa Süreli Yatış: Tedavi sonrası hastalar genellikle kısa sürede taburcu olabilir. Bu durum onların normal yaşantılarına daha çabuk dönmelerini sağlar.
- Tekrar Uygulanabilirlik: Ablasyon tekrarlanabilir bir tedavi olmasıyla bilinir. Kanserin tekrarlama ihtimaline karşı bu özellik büyük bir avantaj sağlar.
- Daha Az Yan Etki: Kemoterapi ve radyasyon tedavilerine göre daha az yan etkiye neden olur. Hızlı iyileşmeyi destekler.
- Kanser Hücrelerinin Yayılmasını Engeller: Kanser hücrelerinin diğer organlara yayılmasını engeller. Hastalığın kontrol altına alınmasına yardımcı olur.
Bu tedavi seçeneğinin etkinliği her hastanın özel durumuna ve kanserin karakteristiklerine göre değişiklik gösterebilir. Ancak genel olarak karaciğer tümör ablasyon tedavisi kanserle mücadelede güçlü ve etkili bir yöntem olarak kabul edilir. Hastalar için güvenli ve az komplikasyonlu bir alternatif sunar.
Sıkça Sorulan Sorular
Karaciğer tümörlerinde ablasyon tedavisi nasıl uygulanır?
Karaciğer tümörleri için ablasyon tedavisi, kanserli dokuyu yok etmek amacıyla radyofrekans ablasyonu (RFA) ve mikrodalga ablasyonu (MWA) gibi minimal invaziv tekniklerle uygulanır. RFA, yüksek frekanslı elektrik akımlarıyla ısı üretirken, MWA elektromanyetik mikrodalgaları kullanır. Bu işlemler genellikle ultrason veya BT gibi görüntüleme kılavuzluğunda, perkütan, laparoskopik veya açık cerrahi sırasında gerçekleştirilir. Ablasyon, cerrahi rezeksiyon için uygun olmayan erken evre hepatoselüler karsinom (HCC) veya metastatik karaciğer tümörleri olan hastalar için tercih edilir. RFA ve MWA seçimi, tümörün boyutu (≥3 cm olanlarda genellikle MWA tercih edilir), konumu ve kan damarlarına yakınlığı gibi faktörlere bağlıdır. MWA, daha yüksek intratümoral sıcaklıklar ve daha hızlı ablasyon süreleri sağlayarak büyük tümörler veya büyük damarlara yakın tümörler için avantajlıdır. Her iki yöntem de lokal nüks riskini en aza indirmek için lezyon etrafında en az 10 mm’lik bir güvenlik marjıyla tam tümör nekrozu sağlamayı hedefler. İşlemler genellikle iyi tolere edilir, düşük komplikasyon oranına sahiptir ve gerektiğinde tekrarlanabilir. Bununla birlikte, ablasyon tedavisinin etkinliği, tümör özellikleri ve tıbbi ekibin deneyimine bağlıdır.
Radyofrekans ablasyon ile mikrodalga ablasyon arasındaki farklar nelerdir?
Radyofrekans ablasyonu (RFA) ve mikrodalga ablasyonu (MWA), karaciğer tümörleri için minimal invaziv tedavilerdir ve belirgin farklılıklar gösterir. RFA, alternatif akım kullanarak ısı üretir ve termokoagülasyon nekrozu yoluyla hücre ölümüne neden olurken, MWA elektromanyetik mikrodalgalar ile daha yüksek tümör içi sıcaklıklar ve daha geniş ablasyon hacimleri oluşturur. MWA, daha hızlı ablasyon süreleri sunar ve kan damarları yakınındaki ısı etkisiyle (heat-sink etkisi) daha az etkilenir. Klinik çalışmalar, RFA ve MWA’nın hepatoselüler karsinom (HCC) için benzer genel sağkalım ve lokal nüks oranlarına sahip olduğunu göstermektedir. Ancak MWA, genellikle daha büyük tümörler veya büyük damarlar yakınındaki lezyonlar için daha etkilidir. MWA, aynı anda birden fazla prob kullanarak birden çok lezyonun tedavi edilmesini sağlar ve prosedür verimliliğini artırabilir. Her iki teknik de etkili olmakla birlikte, MWA’nın teknik avantajları belirli klinik durumlarda tercih edilebilir hale gelir.
Ablasyon sonrası tümör tekrar oluşabilir mi?
Evet, karaciğer tümörleri ablatif tedavi sonrasında tekrar edebilir. Mikrodalga ablasyon (MWA) sonrası 1 yıllık hastalıksız sağkalım oranı yaklaşık %80,2 olup, bu oran 3 yılda %70,3’e düşmektedir. Tümör büyüklüğü, yetersiz ablasyon marjları, birden fazla lezyon ve Child–Pugh B gibi karaciğer fonksiyon sınıflamaları nüks riskini artıran faktörler arasındadır. Ayrıca tümörün konumu ve yüksek alfa-fetoprotein seviyeleri nüks oranlarını etkileyebilir. Nüksleri erken tespit ve tedavi edebilmek için düzenli takip önemlidir.
Bu tedavi sırasında hastanın ağrı hissi olur mu?
Karaciğer tümör ablasyon tedavisi sırasında hastalar farklı düzeylerde ağrı yaşayabilir. Bir çalışmaya göre, perkütan termal karaciğer ablasyonu geçiren hastaların %42,7’si prosedür sonrası ağrı (4 veya üzeri bir ağrı derecesi) bildirmiştir. Kadınlar, anksiyete veya depresyon gibi psikolojik durumlar ve kronik ağrı geçmişi, daha yüksek ağrı seviyeleri ile ilişkilendirilmiştir. Kadınlar, erkeklere göre daha yüksek ortalama maksimum ağrı puanlarına (3,88’e karşı 2,73) sahiptir ve iyileşme odasında daha fazla ağrı kesici gereksinimi göstermiştir. Ayrıca oksikodon, perkütan radyofrekans ablasyon sırasında fentanile kıyasla daha iyi ağrı kontrolü ve daha az yan etki sağlamıştır. Bölgesel anestezi yöntemlerinin, örneğin hepatik hilar sinir bloğunun, ağrı kontrolünde etkili olduğu görülmüştür. Bu nedenle tedavi sırasında ve sonrasında kişiye özel ağrı yönetimi önemlidir.
Ablasyon tedavisi hangi tümör boyutlarında etkilidir?
Karaciğer tümör ablasyon tedavisi, özellikle 3 cm’den küçük hepatoselüler karsinom (HCC) tümörlerinde etkili olup, bu boyutlarda cerrahi rezeksiyon ile karşılaştırılabilir sağkalım oranları sağlamaktadır. 3-5 cm arasındaki tümörlerde tedavinin etkinliği azalmakta, lokal nüks oranları artmakta ve cerrahiye kıyasla sağkalım oranları düşmektedir. Çalışmalarda, 3-5 cm tümörler için ablasyon sonrası tüm nedenlere bağlı ölüm ve kansere bağlı ölüm risk oranlarının cerrahiye göre belirgin şekilde daha yüksek olduğu gösterilmiştir. Bu nedenle ablasyon genellikle 3 cm’ye kadar olan tümörler için önerilirken, daha büyük tümörler cerrahi müdahalelerden daha fazla fayda sağlayabilir.

Girişimsel Radyoloji ve Nöroradyoloji Uzmanı Prof. Dr. Özgür Kılıçkesmez, 1997 yılında Cerrahpaşa Tıp Fakültesi’nden mezun oldu. Uzmanlık eğitimini İstanbul Eğitim ve Araştırma Hastanesi’nde tamamladı. Londra’da girişimsel radyoloji ve onkoloji alanında eğitim aldı. İstanbul Çam ve Sakura Şehir Hastanesi’nde girişimsel radyoloji bölümünü kurdu ve 2020 yılında profesör oldu. Çok sayıda uluslararası ödül ve sertifikaya sahip olan Kılıçkesmez’in 150’den fazla bilimsel yayını bulunmakta ve 1500’den fazla atıf almıştır. Halen Medicana Ataköy Hastanesi’nde görev yapmaktadır.

Vaka Örnekleri
Bel fıtığı disk içi radyofrekans tedavisi sonucu
Fıtık Tedavisi
Boyun Fıtığı Tedavisinde Lazer Teknolojisi ve Anjiyografi
Fıtık Tedavisi
Basedow-Graves hastalığı ameliyatsız tedavi sonucu
Tiroid Hastalıkları
TAKE işlemi ile yok edilen karaciğer tümörü
Kanser Tedavisi
Ameliyatsız Paratiroid Adenomu Tedavisi Sonucu
Paratiroid Adenomu
Sol akciğer komşuğuna gizlenmiş paratiroid adenomu
Paratiroid Adenomu
Bağırsak dalak anevrizması embolizasyonu
Embolizasyon
Dev dalak damar anevrizması kaplı stent ile tedavisi
Stent
Böbrek damarı anevrizmasının akım yönlendirici stent ile tedavisi
Stent
Dev Karaciğer Hemanjiom Mikrodalga Ablasyon
Ablasyon
Santral ven oklüzyonu: Balon tedavisi
Vakalar
Y stent eşlikli kapalı anevrizma tedavisi
Vakalar