Die Embolisation ist ein minimalinvasives radiologisches Verfahren, bei dem Blutgefäße gezielt verschlossen werden. Sie wird eingesetzt, um Blutungen zu stoppen, Tumoren zu behandeln oder Gefäßmissbildungen zu korrigieren.
Unter Röntgen- oder CT-Kontrolle werden Mikrokatheter in die betroffenen Gefäße eingeführt. Anschließend werden Embolisationsmaterialien wie Partikel oder Spiralen appliziert.
Typische Anwendungsgebiete sind Blutungen nach Unfällen, Myome der Gebärmutter oder Lebertumoren. Durch die Unterbindung der Blutzufuhr wird das betroffene Gewebe gezielt behandelt.
Die Embolisation ist schonend, effektiv und erfordert meist nur kurze Krankenhausaufenthalte. Sie gilt als bewährte Alternative zu offenen chirurgischen Eingriffen.
Wissenswertes über die Embolisation
| Definition | Ein minimal-invasives Verfahren zur Blockierung von Blutgefäßen und zur Unterbrechung des Blutflusses. |
| Indikationen | Aneurysma, AVM, Hämangiom, Notfallblutung, Struma, Myom, Prostata, Hämorrhoiden, Varikozele, Beckenkongestionssyndrom, Leber-, Nieren-, Knochentumoren usw. |
| Anwendungsbereiche | Interventionelle Radiologie, Onkologie, Gynäkologie. |
| Prozedur | Injektion von embolischen Agenten (Mikrosphären, Coils, Partikel) in ein Blutgefäß über einen dünnen Katheter. |
| Vorbereitung | Bluttests, bildgebende Tests (MRT, CT, Ultraschall), Fasten (in der Regel 6-8 Stunden). |
| Vorteile | Minimal-invasiv, kurze Erholungszeit, gezielte Behandlung des Zielgewebes. |
| Risiken und Komplikationen | Infektion, Blutung, Gefäßverletzung, Verlagerung des embolischen Materials. |
| Erholungsphase | In der Regel schnell, Rückkehr zu normalen Aktivitäten innerhalb weniger Tage. |
| Kontraindikationen | Schwere Koagulopathie, aktive Infektion, bestimmte anatomische Schwierigkeiten. |
| Alternative Behandlungen | Chirurgische Eingriffe, Strahlentherapie, medikamentöse Behandlung. |
Was ist eine Embolisationstherapie?
Die Embolisation sorgt als medizinisches Verfahren für die Blockierung von Blutgefäßen. Dieser Eingriff wird minimal-invasiv durchgeführt und eignet sich für verschiedene Situationen. Besonders in Notfällen bietet er eine schnelle Lösung, bleibt jedoch auch bei geplanten Behandlungen wirksam.
Der Eingriff erfolgt, indem eine Nadel in ein Blutgefäß eingeführt wird, und anschließend werden durch feine Schläuche andere Gefäße erreicht. Es handelt sich um eine Methode, die unter Angioüberwachung mit Beruhigungsmitteln und Schmerzmitteln etwa 30-60 Minuten dauert.
Während des Verfahrens werden verschiedene Materialien in die Blutgefäße eingebracht:
- Spezielle mechanische Vorrichtungen (Coil, Kleber, Onyx, Partikel, vaskuläre Pfropfen usw.)
- Das eigene geronnene Blut der Person
Diese Materialien unterbrechen den Blutfluss und tragen zur Lösung des Problems im betroffenen Bereich bei. Diese Methode wird sowohl in Notfällen als auch in elektiven Fällen bevorzugt und verspricht den Patienten eine schnelle und effektive Genesung.
Welche Vorteile bietet die Embolisationstherapie?
Sie spielt eine wichtige Rolle bei der Behandlung von Anomalien in der Gefäßstruktur. Durch diese Behandlungsmethode:
- Können atypische Gefäßverbindungen erfolgreich beseitigt werden.
- Werden die Tumore und ähnliche pathologische Wucherungen versorgenden Gefäße wirksam verschlossen.
- Kann starke Blutungen verhindert oder gestoppt werden.
Auf diese Weise erfahren die Patienten sowohl kurzfristige als auch langfristige Erleichterung. Die Anwendung der Therapie variiert je nach Zustand des Patienten, ist jedoch in der Regel ein schneller und sicherer Prozess.
Welche Krankheiten werden mit Embolisation behandelt?
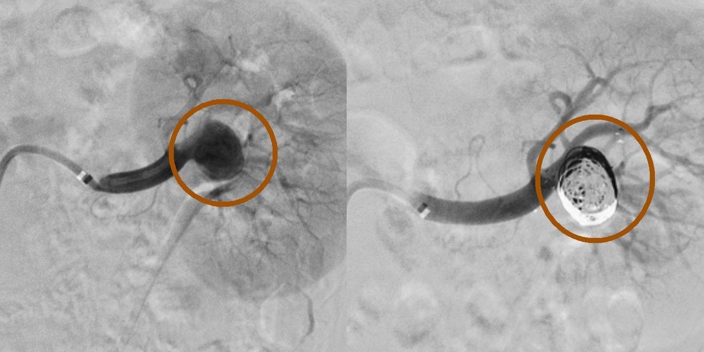
Die Methode findet insbesondere bei blutungsbedingten Erkrankungen Anwendung. Blutungen und Tumore in verschiedenen Organen des Körpers können durch Embolisation kontrolliert werden. Zu den schwerwiegenden Beschwerden, die Patienten erleben, gehören auch lebensbedrohliche Zustände wie zerebrale Aneurysmen und arteriovenöse Malformationen.
- Arteriovenöse Malformationen
- Zerebrale Aneurysmen
- Krebserkrankungen und blutende Tumoren
- Häufige Nasenbluten
- Gastrointestinale Blutungen aufgrund von peptischen Ulzera und Divertikulose
- Hämorrhoiden
- Stark blutende Menstruationsperioden
- Hyperaktive Milzfunktionen
- Retroperitoneale Hämatome
- Traumatische Verletzungen betroffener Organe: Milz, Leber, Lunge

- Uterusmyome
- Varikozele im Skrotum
- Prostatahyperplasie
- Nierenaneurysmen

- Abnormale Verbindungen zwischen Arterien und Venen
Diese Zustände erfordern die Embolisation als Behandlungsmethode. Das Verfahren wird als effektiver Weg zur Bewältigung dieser gesundheitlichen Probleme angesehen. Patienten beobachten in der Regel eine schnelle und sichere Genesung mit dieser Methode.
Wie wird die Embolisation durchgeführt?
Die Embolisationstherapie ist speziell darauf ausgelegt, auf problematische Bereiche in Blutgefäßen einzuwirken. Ein dünner und langer Katheter wird durch eine kleine Öffnung in der Haut in das Gefäßsystem eingeführt. Dieser Katheter wird von Ihrem Arzt in den zu behandelnden Bereich geführt. Während des Fortschritts des Katheters wird der Blutfluss sorgfältig überwacht.
- Die Spitze des Katheters transportiert die embolischen Agenzien an den richtigen Ort.
- Diese Agenzien sind kleine Partikel, die den Blutfluss unterbrechen.
- Sobald das Zielgebiet erreicht ist, werden die Agenzien freigesetzt.
Auf diese Weise wird der Blutfluss blockiert und das zugrunde liegende Gesundheitsproblem kontrolliert. Der Embolisationsprozess wird präzise und kontrolliert durchgeführt.
Welche Ärzte führen Embolisationen durch?
Embolisationen werden von Fachärzten der interventionellen Radiologie durchgeführt. Diese Ärzte kennen das Gefäßsystem des Körpers sehr gut und setzen dieses Wissen zur Durchführung der Behandlung ein. Während des Verfahrens werden Echtzeit-Bildgebungstechniken und Katheter aktiv eingesetzt. Dadurch können Ärzte:
- Das richtige Gefäß leicht erreichen,
- Und den Eingriff präzise durchführen.
Interventionelle Radiologen verfügen über eine Ausbildung in medizinischer Bildgebung und setzen diese Fähigkeiten effektiv in den Behandlungsprozess ein.
Vorbereitungen für die Embolisation
Vor Beginn der Embolisationstherapie nutzen die Ärzte verschiedene Bildgebungstechniken, um den zu behandelnden Bereich genau zu untersuchen. Zu diesen Techniken gehören:
- Ultraschall,
- Computertomographie (CT),
- Magnetresonanztomographie (MRT)
Diese Bildgebungsverfahren ermöglichen eine klare Definition des Behandlungsbereichs. Sie sind auch entscheidend für die präzise Platzierung der embolischen Materialien während des Eingriffs. Vor dem Eingriff müssen die Patienten möglicherweise bestimmte Vorsichtsmaßnahmen treffen. Beispielsweise kann die Verwendung von blutverdünnenden Medikamenten, die die Blutgerinnung beeinflussen, unter ärztlicher Aufsicht eingestellt werden. Diese Vorbereitungsphase ist entscheidend für den Erfolg der Embolisation.
Welche Techniken werden bei der Embolisation angewendet?
Die bei der Embolisation verwendeten embolischen Agenzien variieren je nach Gesundheitszustand des Patienten und den Eigenschaften des behandelten Gefäßes. Diese Agenzien werden sorgfältig ausgewählt, um den Blutfluss im Gefäß zu unterbrechen. Jede dieser Substanzen hat ihre eigenen Eigenschaften und kann ideal für bestimmte Situationen sein. Hier sind die wichtigsten embolischen Agententypen, die bei der Embolisation verwendet werden:
- Ballons: Kleine Ballons, die zur vorübergehenden oder dauerhaften Blockierung von Blutgefäßen verwendet werden.
- Gelatinschaum: Ein schwammiges, auf Gelatine basierendes Material, das sich innerhalb weniger Tage von selbst auflöst.
- Flüssigkleber: Ein Klebstoff, der schnell abnorme Gefäßstrukturen verschließt und aushärtet.
- Flüssige sklerosierende Agenzien: Alkoholhaltige Substanzen, die bei Kontakt mit dem Gewebe Schäden verursachen und abnorme Gefäße verschließen.
- Metall-Coils: Kleine Geräte, die aus rostfreiem Stahl oder Platin hergestellt sind und eine präzise Platzierung ermöglichen.
- Partikel-Agenzien: Verschiedene Partikel, die zur dauerhaften Blockierung kleiner Blutgefäße verwendet werden.
Was passiert während einer Embolisation?
Der Embolisationsprozess beginnt zunächst mit einer leichten Sedierung, um den Patienten zu entspannen. Während des Eingriffs wird in der Regel eine 1 mm große Öffnung am Handgelenk, in der Leiste oder im Nackenbereich vorgenommen, um dem interventionellen Radiologen den Zugang zur zu behandelnden Region zu erleichtern. Nach dieser Phase wird ein Katheter in den betroffenen Bereich geführt. Die Bewegungen des interventionellen Radiologen und die Behandlungsstelle werden während des Verfahrens durch fortschrittliche Bildgebungstechniken wie die Fluoroskopie überwacht.
- Der interventionelle Radiologe injiziert eine spezielle Flüssigkeit (Kontrastmittel) in das Blutgefäß über den Katheter, um das betroffene Gefäß klar zu sehen.
- Nach der Injektion des Kontrastmittels wird das embolische Agenz in den Behandlungsbereich freigesetzt.
- Durch die Platzierung des embolischen Agenzes im Behandlungsbereich wird der Blutfluss unterbrochen, was dazu beiträgt, das zugrunde liegende Gesundheitsproblem zu kontrollieren.
Nach Abschluss des Eingriffs wird der Katheter vorsichtig entfernt und die kleine Einschnittstelle mit einem Verband abgedeckt, der keine Stiche erfordert.
Verursacht die Embolisation Schmerzen?
Patienten, die sich einer Embolisation unterziehen, empfinden in der Regel keine Beschwerden. Dank der während des Eingriffs eingesetzten Sedierung und Lokalanästhesie werden Schmerzen oder Unannehmlichkeiten weitgehend vermieden. Zunächst kann ein leichtes Kneifen durch die Injektion des Betäubungsmittels zu spüren sein. Dieser Schmerz ist jedoch vorübergehend und mild. Im weiteren Verlauf kann es zu Folgendem kommen:
- Empfindlichkeit in dem behandelten und zerstörten Gewebe,
- Vorübergehende Hitzeempfindung beim Verabreichen des Kontrastmittels,
Diese Empfindungen sind normal und verschwinden in der Regel nach kurzer Zeit. Die Patienten können nach dem Eingriff schnell zu ihrem normalen Leben zurückkehren.
Welche Risiken und Komplikationen gibt es bei der Embolisationstherapie?
Das Embolisationsverfahren birgt einige Risiken für die Patienten. Die Wahrscheinlichkeit, dass diese Risiken auftreten, variiert je nach der behandelten Region und dem verwendeten embolischen Agenten. Zu den möglichen Problemen während des Verfahrens gehören:
- Luftembolie: Die Blockierung eines Blutgefäßes durch eine Luftblase
- Allergische Reaktionen: Sensibilität gegenüber dem Kontrastmittel
- Blutergüsse oder Blutungen: Unterhautblutungen an der Einstichstelle
- Verschiebung des embolischen Agenzes: Das verwendete Material wird in einen falschen Bereich verschoben oder bewegt sich
- Infektionen: Infektionen, die nach dem Eingriff auftreten können, und in einigen Fällen lebensbedrohlich sind
- Neuropathie: Auch als Nervenschädigung bekannt
- Weichteilnekrose: Kann insbesondere nach der Behandlung mehrerer Gefäße auftreten
- Schlaganfall oder Blindheit: Tritt auf, wenn die initial verwendeten embolischen Agenzien ihren Platz verlassen
Jedes Risiko sollte in Abhängigkeit von Faktoren wie dem allgemeinen Gesundheitszustand des Patienten, dem behandelten Bereich und den Eigenschaften des ausgewählten embolischen Agenzes bewertet werden. Der Arzt informiert den Patienten und seine Angehörigen über diese Risiken, um eine fundierte Entscheidung über die Behandlung zu ermöglichen.
Wie sieht der Erholungsprozess nach einer Embolisation aus?
Nach einer Embolisationstherapie werden die ersten Tage zu Hause eine Zeit der Ruhe und der Einschränkung der körperlichen Aktivitäten sein. Je nach dem Ort des Eingriffs können bestimmte Vorsichtsmaßnahmen erforderlich sein:
Wurde ein Leistenstich gemacht:
- Sollten Sie das Treppensteigen vermeiden.
Wurde ein Handgelenk-Stich gemacht:
- Sollten Sie wiederholende Handbewegungen wie Schreiben vermeiden.
Zudem sollten schwere Lasten vermieden und anstrengende körperliche Aktivitäten unterlassen werden. Sie können kurze tägliche Spaziergänge machen, um die Durchblutung zu unterstützen und Komplikationen wie Verstopfung vorzubeugen. Eis kann auf die Stichwunde aufgetragen werden, um Schwellungen zu reduzieren und die Wundheilung zu unterstützen. Außerdem sollte die Wunde sauber und trocken gehalten werden.
Post-Embolisation-Syndrom (Flu-like-Syndrom: Grippeähnliche Symptome)
Nach einigen Embolisationen können grippeähnliche Symptome wie leichte Empfindlichkeit, Schüttelfrost und Müdigkeit auftreten, die in der Regel ein oder zwei Tage dauern und ohne Behandlung von selbst abklingen. Diese Symptome verschwinden in der Regel von selbst und erfordern nur selten Schmerzmittel.
Häufig gestellte Fragen

Was sollte nach einer Embolisation beachtet werden?
Nach einer Embolisation gibt es einige wichtige Schritte, die befolgt werden sollten. Am ersten Tag sollte unbedingt geruht werden, und in den folgenden drei Tagen sollten die Aktivitäten allmählich wieder aufgenommen werden. Schweres Heben und anstrengende Übungen sollten vermieden werden, bis der Arzt dies genehmigt hat. Für Blutergüsse an der Einstichstelle kann ein Eisbeutel verwendet werden. Die Wunde sollte sauber und trocken gehalten werden. Der Körper sollte nicht dehydriert werden, daher sollten Sie viel klare Flüssigkeit zu sich nehmen. Außerdem sollten Sie kein Fahrzeug führen, ohne die Zustimmung des Arztes einzuholen. Bei starken Schmerzen, starken Blutungen oder Fieber sollten Sie sofort einen Arzt aufsuchen.
Wer ist für eine Embolisation geeignet?
Das Embolisationsverfahren wird insbesondere bei bestimmten Gesundheitsproblemen bevorzugt. Schwere Blutungen sind ein typisches Beispiel für diese Behandlungsmethode. Darüber hinaus wird die Methode bei Menschen mit Gefäßanomalien wie arteriovenösen Malformationen und Aneurysmen empfohlen. Tumorpatienten können durch diesen Eingriff die Blutversorgung der Tumore unterbrechen und so den Heilungsprozess unterstützen. Frauen mit Myomen können durch Embolisation diese Tumore verkleinern und schmerzhafte Menstruationsperioden lindern. Bei Männern mit Varikozele im Skrotum kann eine Embolisation durchgeführt werden. Menschen mit hyperaktiver Milz und retroperitonealem Hämatom sowie bestimmte Krebsarten können ebenfalls durch diese Methode behandelt werden. Benigne Prostatahyperplasie, Hämorrhoiden und Struma sind weitere Beispiele.
Wie lange dauert eine Embolisation?
Die Dauer einer Embolisation variiert je nach Komplexität der Behandlung und der Anzahl der betroffenen Gefäße. In der Regel dauert der Eingriff zwischen einer halben Stunde und mehreren Stunden. Bei einfachen Fällen dauert er etwa dreißig Minuten, während die Behandlung mehrerer Gefäße in komplexeren Fällen länger dauern kann. Nach dem Eingriff wird den Patienten empfohlen, sechs bis acht Stunden Bettruhe einzuhalten, um die Heilung der Einstichstelle zu fördern und möglichen Komplikationen vorzubeugen.

Girişimsel Radyoloji ve Nöroradyoloji Uzmanı Prof. Dr. Özgür Kılıçkesmez, 1997 yılında Cerrahpaşa Tıp Fakültesi’nden mezun oldu. Uzmanlık eğitimini İstanbul Eğitim ve Araştırma Hastanesi’nde tamamladı. Londra’da girişimsel radyoloji ve onkoloji alanında eğitim aldı. İstanbul Çam ve Sakura Şehir Hastanesi’nde girişimsel radyoloji bölümünü kurdu ve 2020 yılında profesör oldu. Çok sayıda uluslararası ödül ve sertifikaya sahip olan Kılıçkesmez’in 150’den fazla bilimsel yayını bulunmakta ve 1500’den fazla atıf almıştır. Halen Medicana Ataköy Hastanesi’nde görev yapmaktadır.

Fallbeispiele